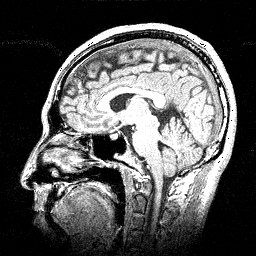
私の横顔
(1997年頃)
ちゃんと見て!